症例
症例を紹介致します
揺れていた奥歯をインプラントにした症例
投稿日:2025年11月08日
こちらの患者様は、以前から当院に通院されている方です。
定期健診を行いながら、動揺のあった左下7番の歯に対して歯周治療と経過観察を続けていましたが、保存が難しくなったため抜歯を行い、その後、欠損部の治療を進めることになりました。
患者様から「自分の歯のようにしっかり噛めるようになりたい」とのご希望があり、インプラント治療を選択されました。


インプラントのメリットは、自分の歯のような噛み心地を得られること、周囲の歯を削る必要がなく独立した歯として機能することです。
一方で、外科的処置が必要となることや、骨の状態によっては手術が難しい場合もあります。また、インプラントが骨に定着してから被せ物を製作するため、治療には一定の期間と回数が必要です。さらに、治療後もインプラント周囲炎(歯周病に似た状態)を防ぐため、定期的なメンテナンスが欠かせません。
インプラント手術後は、より精密な被せ物を製作するために歯肉の状態を整えながら歯周治療を継続しました。当院には歯科技工士が常駐しているため、被せ物の色味や形態を患者様に合わせて細かく調整し、自然な仕上がりを目指しました。
治療後、患者様からは
「食べ物を自分の歯のように噛むことができ、見た目も自然なのでとても満足しています」
とのお言葉をいただきました。
今後も引き続き、定期健診を通じてお口の健康をしっかりサポートしてまいります。
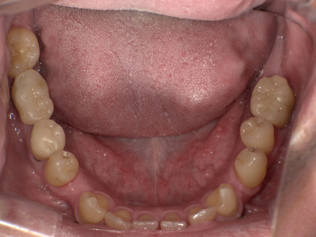
《治療前》


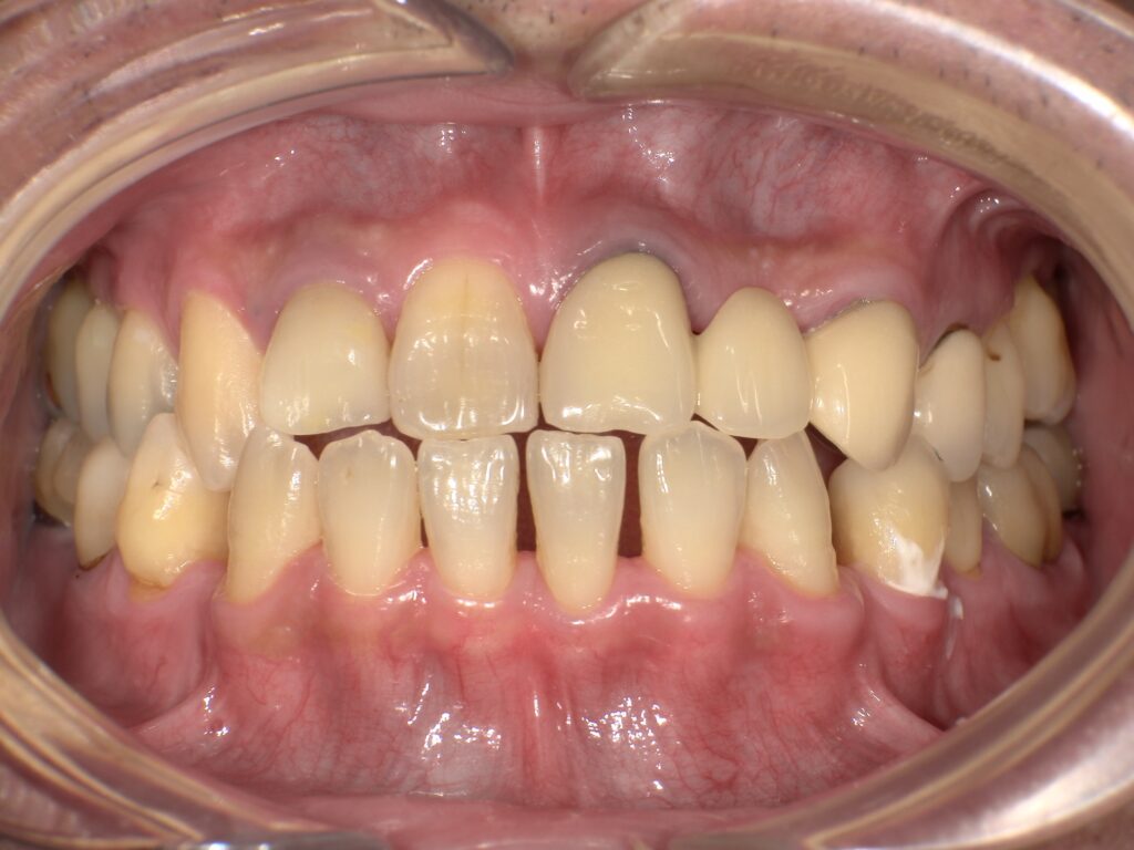
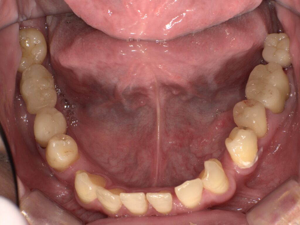
《治療後》


| 年齢・性別 | 50代・男性 |
| 治療期間 | 約半年 |
| 治療回数 | 10回(インプラントOpe前準備~被せ物が入るまで) |
| 治療費用 | インプラント代(手術費込) 583,000円(税込) ※上部(被せ物)型取り代は別途3,300円(税込) |
| リスクなど | ・インプラント埋入部位の骨残存状態によっては手術が行えない場合がある ・歯周病や咬合負担の管理がご自身の歯以上に必要になる |
治療内容はこちら
当院で行った治療内容をご紹介します
