症例
症例を紹介致します
歯磨き指導により磨き残しの数値を大きく改善できた症例
投稿日:2025年12月11日
こちらの患者様は、左上の歯の痛みと「お口全体が腫れている気がする」とのことで来院されました。
お口の状態を数値化して分かりやすくお伝えするため、唾液検査を実施したところ、酸性度をはじめとしたむし歯リスクの数値が高い結果が出ました。原因としては、多量のプラーク付着と口呼吸の習慣が考えられました。
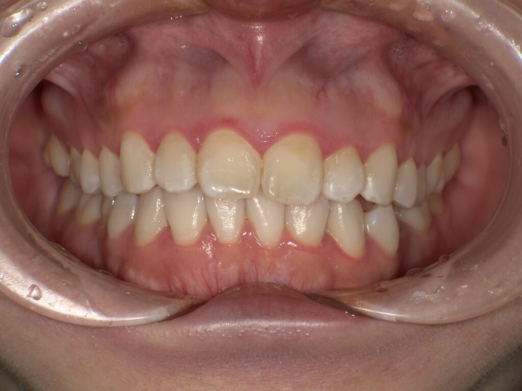
診察時には歯肉全体に発赤がみられ、プラークが厚く付着した状態でした。
磨き残しを確認するため染め出しを行ったところ、全体の80%以上に磨き残しが確認されました。
そのため、適切な歯ブラシの選択方法や正しい磨き方をご提案し、ご自宅で継続的に実践していただきました。

また、歯肉の下には歯石が確認されましたが、歯肉が腫れている状態では痛みや出血が出やすく、治療後に歯肉が大きく収縮して見た目に影響が出る可能性があります。このため、歯肉の炎症が落ち着いてから治療を行う方針をお伝えし、適切なタイミングで処置を進めました。
患者様の継続的なセルフケアにより、磨き残しの数値は来院ごとに改善し、最終的には25%ほどにまで低下しました。腫れていた歯肉も徐々に落ち着き、
「口の中がすっきりした」というお言葉をいただきました。
今後も引き続き、お口の健康維持をサポートしてまいります。
《治療前》 《治療後》


| 年齢・性別 | 20代・女性 |
| 治療期間 | 2ヵ月 |
| 治療回数 | 4回 |
| 治療費用 | 保険適用の歯周病治療 |
| リスクなど | ・歯肉退縮・知覚過敏となる可能性があります。 |
治療内容はこちら
当院で行った治療内容をご紹介します
