症例
症例を紹介致します
歯科が怖い方でも安心して受けられた歯周病治療
投稿日:2026年01月20日
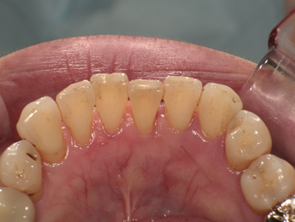
転院を希望されて来院された患者様は、下顎前歯を中心に歯石や汚れが多く付着しており、歯ぐきに軽度の炎症や、一部に歯周ポケットが深い部分がみられる歯周炎の状態でした。
治療にあたっては、「イスをあまり倒さず、風や水に対する恐怖心があるため配慮してほしい」とのご希望があったため、まず検査を行ったうえで、不安の原因を丁寧にお伺いしました。
歯科恐怖症の方に用いられることの多い笑気麻酔を使用した歯周治療もご提案しましたが、患者様からは「笑気麻酔は使用せずに治療を受けたい」とのご希望がありました。そのため、鼻元に水がかからないようタオルで覆う範囲を広くするなどの工夫を行いました。

また、こまめに声かけをしながら歯石の除去や歯みがき指導を行ったことで、無理なく治療を進めることができました。汚れの付着も徐々に減少し、歯ぐきの状態も落ち着いてきています。 患者様からは「細かなところまで対応してもらえたことで、怖さが軽減した」とのお言葉をいただきました。今後も状態に注意しながら、治療を進めていく予定です。
《治療前》 《治療後》


| 年齢・性別 | 50代・女性 |
| 治療期間 | 2ヵ月 |
| 治療回数 | 2回 |
| 治療費用 | 保険適用の歯周病治療 |
| リスクなど | ・歯石を取ったことによる一時的にしみる症状がでることがある |
治療内容はこちら
当院で行った治療内容をご紹介します
